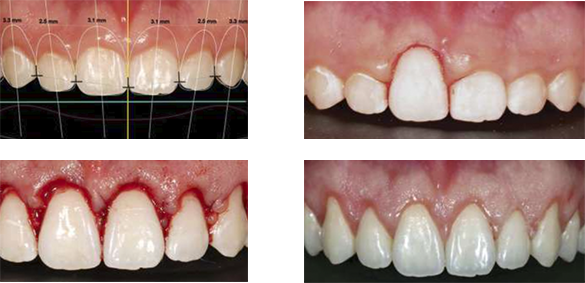
Kit para cirugía ósea y alargamiento de coronas en clínica
Kit Fresas Gold desgaste y pulido de Zirconia y Preparación de coronas en clínica
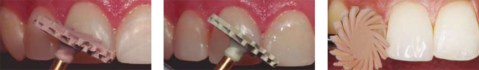
Kit para ajuste y pulido de Composites-Resinas en clínica
Kit para ajuste y pulido de Composites-Resinas en clínica
Kit para cirugía ósea y alargamiento de coronas en clínica
Kit Fresas Gold desgaste y pulido de Zirconia y Preparación de coronas en clínica
Kit para ajuste y pulido de Composites-Resinas en clínica
Kit para ajuste y pulido de Composites-Resinas en clínica

WinParr

En WINPARR impulsamos la excelencia en la práctica dental.

Desde 2008, suministramos instrumentos dentales rotatorios de alto rendimiento para odontólogos y técnicos dentales que buscan precisión, durabilidad y resultados superiores.

Contamos con un portafolio especializado de fresas de diamante de alta y baja velocidad, discos, fresones y pulidores para resinas, cerámica, zirconia y disilicato de litio, diseñados para ofrecer máximo desempeño clínico.

Nuestros productos cumplen con la normativa europea 93/42 y cuentan con certificación CE, brindando seguridad y confianza en cada procedimiento.

Nos destacamos por un servicio cercano, flexible y orientado al cliente, ofreciendo soluciones que se adaptan a las necesidades reales de cada clínica y laboratorio.

WINPARR es sinónimo de calidad alemana, precisión y confianza profesional.